The Academic Art of Riding Blog by Bettina Biolik
It’s been a while since I wrote the last blog entry. Drafting this one is somewhat of a challenge, not because I don’t know what to write about, but because I’m sitting on a straw bale in Nazir’s box at the clinic, and he, very happy about the company, examines my clothes, licks my knee, blows air in my ear, wants to eat the straw I’m sitting on, tries to see if my notebook is edible. It’s his second time in the clinic.

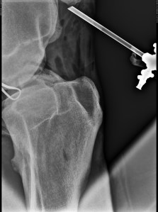
But let me start at the beginning. On 16th July, Nazir had an arthroscopy to remove two cartilage fragments in his right stifle joint (see this blog post). The surgeon, Dr Jan Samsel of the clinic at he Warsaw race track, found and removed the two pieces and proudly told me that it was quite difficult to find one of them, that it had grown into surrounding tissue, but that he’d managed. Nazir walked out of the wake-up box all right. The x-ray on the right was taken during surgery, after the removal of the two chips.
Then, a few hours after the surgery, his joint started swelling a lot and he showed signs of extreme pain. He was standing on three legs. The surgery was minimal invasive, so this was not normal and the surgeon said that it was the first time something like that had happened in his entire career. To all our dismay, the x-ray now showed another large fragment. The surgeon was just as worried as I was.
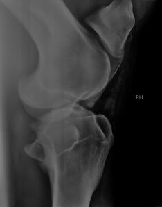
A day later, the fragment had moved to an area where it was even more visible. Another surgery wasn’t possible right away, the risk of a severe inflammation would have been to big. The next arthroscopy would be possible in about one month. It took a few days for the inflammation to subside. Maybe the third piece of cartilage had caused it, maybe the fact that one of the pieces was difficult to remove. The problem with these chips is that they can hide in some folds of tissue and are not visible on the x-ray. In order to be able to move around the arthroscope, the joint is inflated with liquid or gas. This had probably caused this third fragment to come out of its hiding place. Anyway, I felt miserable. I was sure that I would help my horse get better, and now it looked like the problem was still there, he was in more pain than before, and we didn’t know if this chip, floating around the joint, would end up in a place where it was operable. He would have to stay in his box for one month to wait for the next surgery. On the other hand, if the joint had not been that swollen and painful, we would have assumed that everything was fine, I would have started to train again after three months of rehab, just to find out that there still is a problem. Possibly, I wouldn’t have noticed anything right away and the chip would have caused more damage. The following pictures were taken during the surgery and they show how these chips have damaged the cartilage:
The time at the clinic was very difficult for Nazir. There is a lot of pain and suffering in this place. Horses with severe injuries that cannot be treated by the local vet at their own stable, such as broken legs, abscesses, ulcers, severe laminitis, colics, deeps wounds, I saw one horse that was nearly starved to death and had problems staying on its feet. Not all horses get to go home again, some just don’t make it. There were crying owners, the smell of fear, death, blood, disinfectant. The boxes at the clinic were large and clean, but there was no window to look outside and just a small, barred window to the aisle. Nazir couldn’t see any other horses, just hear their neighing. For a horse that’s used to paddock and field for most of the day and that lives in such a bright an airy stable this must have been the scariest experience of his life. Of course I couldn’t explain to him that he gets to go home after ten days. Every day, he looked more sad.
I spent as much time with him as I possibly could. When his joint was so painful, I stood next to him and tried to support his right side with my arms under his belly, so he could relax his back muscles a bit which were all cramped from the pain. He started to walk around the box, me still holding his side and trying to carry as much of his weight as possible. Like this he was able to move around a bit. Some time later he looked at his right side, I took the hint and helped him again, and like this we walked around the box a few times an hour until he was better two days later. I brought him fresh grass from outside, sat in his box and read, massaged him a bit. When the trailer pulled up in front of the clinic to bring him home, I lead him out of the stable for the first time in 10 days. He stopped, looked around, and took a deep breath. We had him in the trailer in no time, although he’s usually not that fond of loading. On the last meters before home, he called out to his friends again and again. You should have seen how happy he was to be back home. For five weeks, he stayed in his box and a small paddock the size of his box. Twice a day, me or the stable groom walked him for fifteen minutes. Thanks to the joint supplements I gave him his joint soon looked normal again. I even had a feeling that he walked much better, more elastic. He wasn’t on his best behaviour, but I thought that was quite normal under the circumstances and I didn’t hold it against him. He was still easy to manage though. I had to go to Germany for three weeks and was very happy to leave him in such good hands. Then, on the 28th of July, we made x-rays to see if this fragment was still visible. The joint looked absolutely fantastic and I had a slight hope that this fragment would be situated in a place where it wouldn’t disturb and we wouldn’t need another operation. Of course it was the exact opposite, as you can see here:
Dr Samsel had promised to do the next operation for free (I think that happens only in Poland…), so I called him and we arranged for me to bring Nazir to the clinic again. Nazir didn’t really want to go in the box at the clinic and wasn’t very friendly to me the next days. I wonder if horses can hold a grudge. On September 4th, Dr Samsel performed the second arthroscopy. This time no complications occurred (phew) and they moved Nazir to another stable close to the clinic the day after the operation. The joint doesn’t even look that swollen. Nazir wasn’t very happy about moving stables at first. However,I thought the other stable, although quite run down, is an improvement. At least he has a window to the outside and can see some other horses. It doesn’t smell of disinfectant and I can sit with him without getting strange looks from the employees (none of the other horses, about 25 of them, get regular visitors). After all these weeks, Nazir is not in a happy place. His eyes show clearly that he is suffering from his imprisonment. I can only tell myself that it’s for his best and that every day that’s gone by he’s closer to a normal life again, maybe an even better life than before. After all, there is a good chance that the arthritis will not return, now that the cause is removed. Below you can see two of the fragments by the way.
With three big chips in the joint he probably wouldn’t have been free of pain anymore and the chips would have caused more and more damage. The doctors said that he had these chips all his life and was used to the pain. I’m very curious to see if there will be any changes in his behaviour and movements. I remember the daughter of his owner saying that Nazir sometimes limped a little, and that he had always done that, nothing to worry about. The limping disappeared once he was with me, but I still should have investigated. We could have operated two years ago. There are still three smaller fragments in this joint, on the other side of it were we can’t operate, but the surgeon said they shouldn’t make any problems, since they are far away from the joint surface. I’m trying to be optimistic and hopeful. I know that the next three months until Nazir can run free in the paddock again will be tough on him. I will try my best to entertain him and think of a good rehab program, but it’s not going to make up for the fact that he’ll miss his buddies and the grass. If all goes well, I should have a strong an healthy horse by the and of the year. I just hope, his trust didn’t get too big of a big dent.
Don’t be so hard on yourself, you are doing your best, and it is amazing! Many good wishes for you and Nazir!
Thanks very much 🙂
Even though horses probably don’t understand as well as kids do the “it’s for you own good” argument, he knows you love and care after him in the best way possible. I agree with Mariana, what you have been through and are doing is amazing – much much thoughts and wishes of recovery !!
Thank you! After all, he will return to a good life. The clinic is at the Warsaw horse racing track, in between all the stables for the race horses. I was shocked to see how they live. They don’t get to come home to a good life. I made some photos and want to write my next post about it.